ホームホワイトニング🦷✨
こんにちは。おざき歯科クリニック歯科衛生士の内田です😊
梅雨に入り雨が多くなってきましたね☔
私はこの間のおやすみの日にお友達と太宰府天満宮にいってきました!
食べ歩きをしたのですがこの明太茶漬けがいちばんおいしかったです☺✨

今日はホームホワイトニングについてお話ししたいと思います♪
ホームホワイトニングとは歯科医院でするオフィスホワイトニングとは違いお家でできるマウスピースを使ったホワイトニングです🦷✨
マウスピースにホワイトニングの薬剤を入れてつけてもらい毎日2時間を目安にマウスピースをつけてもらいます!
オフィスホワイトニングは1回の来院で光を使い白くしていきますがホームホワイトニングは2週間かけて徐々に白くしていきます☺
歯科医院に行く暇がない方やお家で自分の空いた時間にしたい方などにおすすめです✨
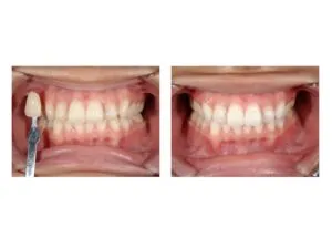
ちなみにこちらは左側がホームホワイトニングをする前で右側がホームホワイトニング後になります。

オフィスホワイトニングやホームホワイトニングなどご興味のある方は気軽にお尋ねください!