ホワイトニングについて
ホワイトニングはその名の通り、歯を白くする治療です。
当院ではクリニックで行う「オフィスホワイトニング」、ご自宅で行なっていただく「ホームホワイトニング」、オフィスホワイトニングとホームホワイトニングの2つを併用して行う「デュアルホワイトニング」の3つのメニューに対応しています。
患者さまの歯の状態を確認した上で、患者さまにより適したホワイトニングメニューをご提案させていただきます。

- このような方におすすめ
- 黄ばんだ歯が気になる
- 歯を白くしたい
- 歯を削らずに白くしたい
- イベントごとが控えていて歯をきれいに見せたい
- 人前で話す機会が多い
ホワイトニングメニュー
オフィスホワイトニング

オフィスホワイトニングは歯科医院に通って行うホワイトニングです。基本的に1回で歯を白くすることができます。
メリット
・1回の施術で効果を実感できる
・歯科医院で受けられるので安心
・歯を削ることなく白くできる
・笑顔に自信がでる
デメリット
・保険適応外のため費用が高い
・通院する必要がある
ホームホワイトニング

ご自宅で患者さま自身で行なっていただくホワイトニングです。専用のマウスピースと薬剤をお渡しし、患者さまご自身の生活に合わせてホワイトニングを行うことができます。
メリット
・自分のタイミングでホワイトニングができる
・自分が好きな白さのままキープすることができる
・奥歯も白くすることができる
・笑顔に自信がでる
デメリット
・保険適応外のため費用が高い
・オフィスホワイトニングに比べ効果が出るまで時間がかかる
当院のホワイトニングの特徴

当院ではクリニックにお越しいただいて行う『オフィスホワイトニング』と、ご自宅でホワイトニングができる『ホームホワイトニング』のほか、両方を並行して行う『デュアルホワイトニング』をご用意しています。
オフィスホワイトニングで使用する薬剤は、ティオン オフィスホワイトニングです。基本的に1回のホワイトニング治療で白くすることができるため早く歯を白くしたい方や、結婚式を控えている方などにおすすめです。※ただし事前にカウンセリング及び歯の表面のクリーニングを行うため、一度の来院では完了しません。
ホームホワイトニングは一度ご来院いただきマウスピースを作成してから、ご自宅で好きな時間にホワイトニングをしていただく方法です。オフィスホワイトニングよりも白さを実感するまでに時間がかかりますが、ホワイトニング効果が長続きします。
より効果的に歯を白くしたい方には、オフィスホワイトニングとホームホワイトニングを平行して行うデュアルホワイトニングをおすすめしております。
なお、通常のホワイトニングでは白くすることができない変色した失活歯(進行したむし歯やケガなどで神経がなくなった歯)についてのお悩みもご相談ください。歯の内側から白くする薬剤を使用して、徐々に白くしていく『ウォーキングブリーチ』も行うことができます。
ティオンホワイトニングとは?
当院で行うホワイトニングには「ティオンホワイトニング」を使用しています。 ティオンホワイトニングの強みとしては、
- 知覚過敏が起きづらい、低刺激のため口内に優しい
- 着色物質を分解する「ラジカル」によりホワイトニング効果が高い
- 粘膜や歯肉の保護がしっかりしているので安全性が高い
上記のような強みが挙げられます。
日本において薬事認可の承認を受けたホワイトニングですので、歯を白くしたいと考えている方はぜひ当院までご相談ください。
ホワイトニングの流れ
1
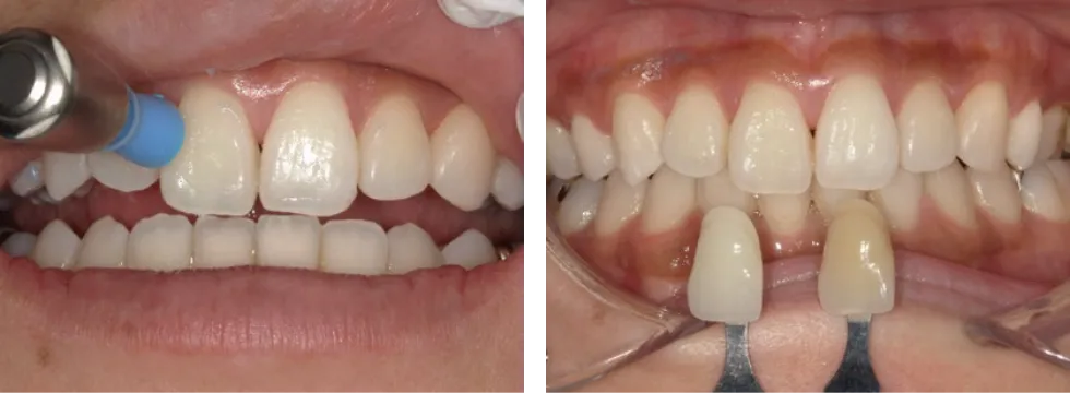
歯の表面のクリーニングを行い、シェードを用いて、現在の歯の色とホワイトニング後の歯の色のイメージを確認します。


2
ホワイトニングジェルが歯肉や粘膜に当たらないように歯肉の保護剤を塗布します。
その後、リアクターと呼ばれる光触媒を歯の表面に塗布します。これにより、高い漂白効果と低侵襲を実現できます。

3
ホワイトニングジェルを塗布していきます。その後、ホワイトニング照射器で、歯の表面に塗布したホワイトニングジェルに対し光を照射していきます。
☆12分×3セット照射します。

4
ホワイトニングジェルを洗い流し、保護剤等を外します。


5
最後に丁寧に歯を磨き、ホワイトニング前後の色の変化の確認を行います。


費用
ホワイトニング
| オフィスホワイトニング | 29,700円(税込) |
|---|---|
| ホームホワイトニング(上下) | 29,700円(税込) |
| ホームホワイトニング(上のみ/下のみ) | 18,500円(税込) |
| デュアルホワイトニング | 49,500円(税込) |