ホワイトニング症例🦷✨
こんにちは、おざき歯科クリニックです😊
皆さま梅雨の時期、いかがお過ごしですか?
晴れの日は暑い日が続きますので、体調を崩されないようどうぞご自愛ください。
本日は、当院でホワイトニングをされた方の症例をお見せしようと思います😃✨
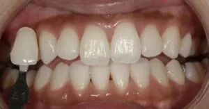
元々白い歯をされていましたが、オフィスホワイトニングをされて、ますます白い歯になりました🦷✨歯の色をみるためにシェードガイドというものを参考にするのですが、A2→A1になりました👏🏻
《before》

↓
↓
↓
《after》

オフィスホワイトニングはその日のうちに歯を白くできるので、オススメです😊✨
当院では現在オフィスホワイトニングのキャンペーンを行なっています‼️通常¥29700のところ6月いっぱいは¥20000でホワイトニングができます😀6月も残り僅かとなりましたので、6月中に来院され、ホワイトニングをすると言って下さった方は7月のホワイトニング実施でも¥20000でさせていただきます😌(事前に1〜2回来院していただく必要があるためです💦)
この機会にホワイトニングで白い歯になりませんか?✨✨
気になる方は是非ご相談ください🎶